Olivia
When I was told I was going to loose my few last remaining teeth I was devastated & worried about the future
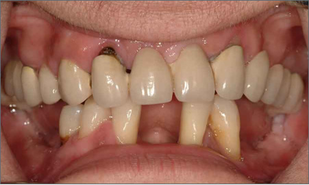
Before

After

Olivia was determined not to have full dentures like her parents had to endure
Olivia, now 45 years old, had lost most of her teeth over a period of years due to tooth decay and gum disease. She was wearing a lower partial denture supported by her few remaining teeth. Unfortunately, the additional pressure on the remaining teeth ultimately caused them to deteriorate and they needed to be removed which would leave Olivia with no lower teeth and the prospect of a full lower denture. In the upper jaw Olivia had extensive crown and bridge work done overseas about 20 years ago, which had failed due to wear and tear and decay, which had resulted in so much damage that the only option was to look at removing the remaining upper teeth and the crowns and bridges. Therefore, a full upper denture was also looking likely.
I already hated my partial dentures as they were always loose, making it difficult to eat and talk. The thought of having to have full upper and lower dentures was not a pleasant one and made me look at dental implants as an alterative
Olivia Before Treatment


Olivia was very keen to avoid dentures and have dental implants to replace her teeth. She looked at the All-on-4TM treatment, which would provide her with all her lower teeth as a fixed–bridge on 4 dental implants. In the upper jaw, Olivia had 6 dental implants placed and a full implant bridge fitted. The treatment was completed in just 8 months and Olivia had the comfort of having fixed teeth, just like her own once again.
Olivia After All-on-4 Treatment




The team at Dental Implant Network undertook an extensive evaluation and personalized a treatment plan for Olivia, which involved receiving 4 dental implants in the lower jaw and 6 dental implants in the upper jaw. The implant placement was undertaken by the specialist surgeons at the Institute of Dental Implants & Periodontics under local anesthetic and oral sedation to help Olivia stay relaxed through the procedure. The implants placed supported tooth bridges, which replaced all the upper and lower teeth providing excellent function and great aesthetics. These tooth bridges are permanently attached to the implants and do not rub on the gums causing pain and ulceration.
I am so fortunate that I am now not having to struggle with the discomfort of having full dentures. I thought that the treatment would be difficult and uncomfortable but was pleasantly surprised and can recommend this to anyone worried about loosing their teeth.