Ralph
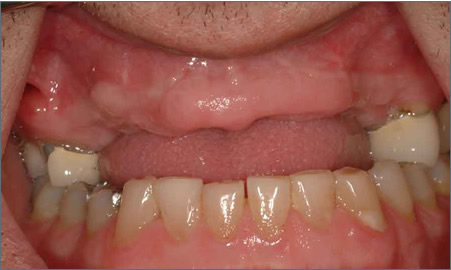
I lost all my upper front teeth after an accidient some years ago and struggled since with my partial denture
Before

After

Ralph didn’t want his loose denture interfering with his active lifestyle
Ralph has always been active, swimming, mountain biking, running, but the fact that his upper partial denture, which replaced his front teeth, was never completely stable always worried him whenever he was trying to enjoy his outdoor pursuits. Ralph had lost all his upper incisors, canines and first premolar teeth (8 front teeth!) as a result of a boating injury. His initial treatment was to replace his missing teeth with a removable denture.
The front denture was OK for a while but it did not look natural and was uncomfortable in the mouth and really cramped my style whenever I was out involved with my sport. After a while it just got to me and I had to find an alterative option
Ralph booked in with the Team at Dental Implany Network and following a thorough examination and work-up a treatment solution using dental implant tooth replacement was recommended.
Ralph Before Treatment – showing denture in and out of the mouth




Following a ConeBeam CT scan x-ray of the upper jaw, it was possible for the specialist surgeons at Dental Implant Network to plan this case using computer guided surgery. This enabled placement of 6 dental implants without making any incisions but rather by placing the dental implants using ‘keyhole’ surgery. This type of surgery means less time in the surgery and a much quicker recovery with minimal pain and almost no swelling at all.
Ralph After Treatment- Dental Implant bridges to replace the missing front teeth.



Following the placement of 6 dental implants, two implant bridges were fabricated and attached to the dental implants to replace all 8 missing from teeth. The final result looked and felt more natural than the denture and being secured to the dental implants gave Ralph all the confidence he needed to pursue his outdoor adventures with vigor.
I don’t even think about my teeth anymore like I used to when I had dentures. My dental implants are like I have my own teeth, I feel hole again and ready to tackle the next challenge that awaits me in the great outdoors.
